अवटु ग्रंथी पृष्ठवंशीय प्राण्यांमधील सर्वांत मोठ्या अंतःस्रावी ग्रंथींपैकी एक आहे. पियुषिकेच्या नियंत्रणाखाली अवटु ग्रंथी चयापचय (Metabolism) व ऊर्जा निर्मिती या मूलभूत प्रक्रिया नियंत्रित करते. पियुषिका व अवटु ग्रंथी यांमधील संदेशवहनाच्या मार्गाला अधःश्चेतक–पियुषिका–अवटु ग्रंथी अक्ष (Hypothalamus-Pituitary-Thyroid axis) असे म्हणतात.
संशोधनात्मक पार्श्वभूमी : चीन, ईजिप्त, भारत, ग्रीस आणि बायझंटिन येथील संस्कृतींमधील प्राचीन ग्रंथांमध्ये अवटु ग्रंथीचे विकार व त्यावरील उपाय यांचे उल्लेख आढळतात. यांपैकी बहुतेक उल्लेख गलगंड हा विकार व त्यावरील उपचार यांचे आहेत. इ.स.पू.२७०० पासून चीनमधील वैद्यांना अवटु ग्रंथीच्या अपवृद्धीची माहिती होती. तसेच प्लेटो, हिपॉक्राटीझ आणि गेलेन या ग्रीक वैद्यांनी अवटु ग्रंथी आणि गलगंड विकाराचा वारंवार उल्लेख केल्याचे दिसते.
आयुर्वेदामध्ये इ.स.पू.१४०० पासून गलगंड विकाराचे तपशील सापडले आहेत. चरकसंहिता या ग्रंथामध्ये चरकाने गलगंडाची लक्षणे, पाळावयाची पथ्ये व औषधे यांचे तपशील दिले आहेत. प्राचीन बायझंटिन चित्रांमध्ये देखील गलगंड विकाराचे पुरावे सापडले आहेत. परंतु अवटु ग्रंथीची रचना व कार्य यांची निश्चित माहिती सोळाव्या शतकापर्यंत उपलब्ध नव्हती.
थॉमस व्हार्टन (Thomas Wharton) या शरीरशास्त्रज्ञाने सर्वप्रथम अवटु ग्रंथीची अंतर्गत संरचना उलगडली. त्याने अवटु ग्रंथीला थायरॉइड हे नाव दिले. ग्रीक भाषेमधील थायरॉयडिया (thyreoidea) अर्थात ढाल या शब्दावर ही संज्ञा आधारित आहे. अवटु ग्रंथीभोवती असलेल्या कूर्चेच्या आकारामुळे हे नाव पडले. अठराव्या व एकोणिसाव्या शतकामध्ये अवटु ग्रंथीचे स्राव, अल्पक्रियता, अतिक्रियता व गलगंड विकाराचे उपचार यांबद्दल महत्त्वाचे संशोधन झाले. गलगंड व अवटु ग्रंथीच्या अन्य विकारांवर उपचार करण्यासाठी अवटु ग्रंथीचे स्राव वापरण्यास सुरुवात झाली. १९११ मध्ये एडवर्ड कॅल्व्हिन केंडल (Edward Calvin Kendall) या वैज्ञानिकाने थायरॉक्सिन स्फटिकरूपात वेगळे केले. तसेच १९२७ मध्ये सी. आर. हॅरिंग्टन (C. R. Harrington) व जॉर्ज बार्जर (George Barger) यांना कृत्रिम थायरॉक्सिन तयार करण्यात यश आले. या प्रयोगांमुळे थायरॉक्सिनची संरचना सुस्पष्ट झाली. कृत्रिम संप्रेरके तयार करण्यासाठी हे संशोधन दिशादर्शक ठरले. अवटु ग्रंथीचे नेमके कार्य व विकारांचे स्वरूप समजून घेण्यात या सर्व संशोधनाचा मोलाचा वाटा आहे.

संरचना : अवटु ग्रंथी मानेच्या पुढील भागात स्वरयंत्राच्या (Pharynx) समोर आढळते. प्रौढ व्यक्तीमध्ये अवटु ग्रंथीचे वजन १५ – २५ ग्रॅ. पर्यंत भरते. अवटु ग्रंथी दोन लांबट पालिंपासून (Lobes) बनलेली असते. प्रत्येक पालि २ – २.५ इंच लांब, २ सेंमी. रुंद व २-३ सेंमी. जाडीची असते. या पालि तंतुपुंजात्मक सेतूने (Isthmus) जोडलेल्या असतात. श्वासनलिकेच्या (Trachea) दोन बाजूला दोन पालि असल्याने अवटु ग्रंथी फुलपाखराच्या आकाराची दिसते. पुरुषांच्या तुलनेने स्त्रियांमध्ये अवटु ग्रंथीचा सरासरी आकार मोठा असतो. तसेच गरोदरपणामध्ये अवटु ग्रंथीचा आकार वाढत असल्याचे समोर आले आहे.

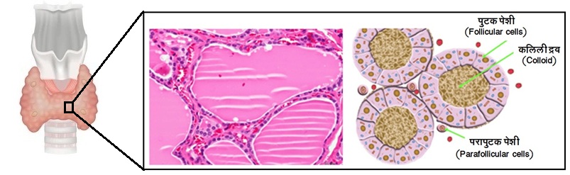
अवटु ग्रंथी एका तंतुमय पुटिकेने (Fibrous capsule) वेढलेली असते. पुटिकेचे बाह्य आवरण अवटु ग्रंथीला आजूबाजूच्या कूर्चेशी जोडते. पुटिकेचा आतील स्तर पडद्याच्या घड्यांप्रमाणे अवटु ग्रंथीच्या आतील भागात पसरलेला दिसतो. या घड्यांमुळे अवटु ग्रंथीचे छोटेछोटे भाग पडतात. या घड्यांना पटले (Septae) म्हणतात. अवटु ग्रंथीचा आतील भाग स्रावी पेशींचा (Secretary cells) बनलेला असतो. या स्रावी पेशींना पुटक पेशी, अवटु पेशी किंवा अवटु अभिस्तरीय पेशी (Follicular cells / Thyrocytes / Thyroid epithelial cells) असे म्हणतात. स्रावी पेशी एकत्र येऊन लहान-लहान गोल थैलीसारख्या संरचना तयार करतात. या संरचनांना पुटके (Thyroid Follicles) म्हणतात. पुटके आतून पोकळ असतात व बाहेरची बाजू अभिस्तरीय पेशींनी बनलेली असते. अवटु ग्रंथीची संप्रेरके व स्राव कलिल (Colloid) स्वरूपात पुटकांच्या पोकळीमध्ये साठवली जातात. पुटकांना रक्तपुरवठा करण्यासाठी सर्व बाजूंनी केशवाहिन्यांचे (Blood capillaries) जाळे असते. या रक्तवाहिन्या संप्रेरके व अन्य संदेशवाहक रेणूंची वाहतूक करतात. पुटकांच्या मधल्या जागेमध्ये पर-पुटक पेशी किंवा सी-पेशी (Parathyroid/ C-cells) असतात. पुटक पेशींच्या तुलनेत या पेशींचे प्रमाण अगदी कमी असते. या पेशी कॅल्सिटोनीन (Calcitonin) संप्रेरक तयार करतात.

संप्रेरके : थायरॉक्सिन (Thyroxine-T4) व ट्रायआयडो-थायरोनीन (Tri-iodothyronine -T3) ही अवटु ग्रंथीची प्रमुख संप्रेरके आहेत. पुटक पेशी ही संप्रेरके तयार करतात. पुटक पेशींमध्ये असलेली थायरोग्लोब्युलिन (Thyroglobulin-T4) व थायरॉक्सिन पेरॉक्सिडेज (Thyroxine peroxidase) ही दोन प्रथिने या प्रक्रियेमध्ये महत्त्वाची भूमिका बजावतात. थायरॉक्सिन व ट्राय-आयडो-थायरोनीन ही दोन्ही संप्रेरके टायरोसीन (Tyrosine) ॲमिनो अम्लापासून तयार होतात. पुटक पेशी रक्तप्रवाहातून ॲमिनो अम्ले शोषून घेऊन थायरोग्लोब्युलिन हे ग्लायकोप्रथिन सातत्याने तयार करीत असतात.
थायरोग्लोब्युलिन रेणूमध्ये १४० टायरोसीन ॲमिनो अम्ले असतात. हे प्रथिन थायरॉक्सिन व ट्रायआयोडो-थायरोनिन यांच्या संश्लेषणासाठीचा सांगाडा म्हणून काम करते. याबरोबरच पुटक पेशी रक्तातून आयोडीन शोषून घेतात आणि थायरॉक्सिन पेरॉक्सिडेज विकराच्या साहाय्याने त्याचे ऑक्सिडीकरण करतात. पेशी आवरणामधील विशिष्ट पंप (Iodine pumps) पेशींमध्ये आयोडीन केंद्रित करण्यास मदत करतात. हे पंप रक्तापेक्षा ३० पट अधिक प्रमाणात आयोडीन अवटु ग्रंथीमध्ये ओढून घेऊ शकतात. मूलक स्वरूपातील आयोडीन व थायरोग्लोब्युलिन रेणूमधील टायरोसीन ॲमिनो अम्ले यांच्यात अभिक्रिया घडून येतात आणि त्यापासून थायरॉक्सिन व ट्रायआयडो-थायरोनीन ही संप्रेरके तयार होतात. तयार झालेली संप्रेरके थायरॉग्लोब्युलिन रेणूच्या सांगाड्यामध्ये सुप्तावस्थेत चिकटून राहतात. थायरोग्लोब्युलिनचा प्रत्येक रेणू संप्रेरकाचे ५-६ रेणू धरून ठेवू शकतो. हे सर्व मिश्रण पुटकांच्या पोकळीमध्ये साठून राहते.
अवटु ग्रंथी चार महिन्यापर्यंत संप्रेरके कलिली स्वरूपात साठवून ठेवू शकते. दीर्घकाळ संप्रेरके साठवणारी अवटु ग्रंथी ही एकमेव ग्रंथी आहे. त्यामुळे अवटु ग्रंथीचे कार्य बिघडल्यास ते लक्षात येण्यासाठी किमान ४-५ महिने लागतात.
थायरोट्रॉपीन /थायरॉइड मुक्तक संप्रेरक (Thyrotropin/ Thyroid stimulating hormone) या संप्रेरकांचे कार्य नियंत्रित करते. थायरॉइड मुक्तक आल्फा व बीटा या दोन भागापासून बनलेले असते. आल्फा भाग ९२ ॲमिनो अम्लापासून तर बीटा भाग ११८ ॲमिनो अम्लापासून बनलेला असतो. बीटा भाग पेशीवरील ग्राही (Receptor) यांच्याशी संबंधित असतो. काही कारणाने थायरॉइड मुक्तक संप्रेरक कमी स्रवले गेल्यास टी ३ आणि टी ४ कमी प्रमाणात स्रवले जाते. थायरॉइड संप्रेरके व थायरॉइड मुक्तक संप्रेरक हे ऋण पश्च प्रदान प्रक्रियेने (Negative feedback mechanism) परस्परांस नियंत्रित करतात.
थायरोट्रॉपीनचा संदेश येताच पुटक पेशी थायरोग्लोब्युलीन रेणू पुन्हा आत घेतात आणि त्यापासून संप्रेरके वेगळी काढतात. थायरॉग्लोब्युलीन रक्तामध्ये मिसळत नाहीत, केवळ संप्रेरके रक्तप्रवाहात मिसळतात. अवटु ग्रंथीच्या स्रावांमध्ये थायरॉक्सिनचे प्रमाण अधिक असते तर ट्रायआयोडो-थायरोनीन अत्यल्प असते. रक्तामध्ये ही दोन संप्रेरके १४ : १ इतक्या व्यस्त प्रमाणात आढळतात. तसेच काही पेशींमध्ये थायरॉक्सिनचे ट्रायआयोडो-थायरोनीन तयार होते. रक्तात आढळणारे ८०% ट्रायआयोडो-थायरोनीन या प्रक्रियेतून तयार झालेले असते.

थायरॉक्सिन बंधक ग्लोब्युलिन (Thyroxine-binding globulin), ट्रान्सथायरेटिन (Transthyretin/ Thyroxine-binding pre-albumin) आणि ॲल्ब्युमिन (Albumin) ही प्रथिने अवटु संप्रेरकांचे वितरण सुरळीत ठेवण्यात मदत करतात. अवटु ग्रंथीचे काम सुरळीत चालण्यासाठी आहारात पुरेसे आयोडीन आवश्यक असते. हे आयोडीन सागरी मिठापासून उपलब्ध होते. ज्या ठिकाणी खाणीतील मीठ आहारात सतत खाण्याची पद्धत आहे, त्यांना आहारातून पुरेसे आयोडीन उपलब्ध न झाल्यास अवटु ग्रंथींचे विकार उद्भवतात. असे होऊ नये म्हणून खाद्य मिठात आवश्यक प्रमाणात सोडियम आयोडेट मुद्दाम मिसळले जाते.
अवटु ग्रंथीची संप्रेरके पेशी स्तरावरील ऊर्जानिर्मिती आणि विनिमय या मूलभूत प्रक्रिया नियंत्रित करतात. शरीराचे तापमान नियंत्रण, हृदयक्रिया, अन्नपचन, चयापचय आणि आधारी चयापचय गती या सर्वच प्रक्रियांमध्ये ही संप्रेरके मदत करतात.
पहा : अंतःस्रावी ग्रंथी, अवटु ग्रंथि (पूर्वप्रकाशित), अवटू संप्रेरके, त्रुटिजन्य विकार, पियुषिका ग्रंथी-संप्रेरके.
संदर्भ :
- https://www.britannica.com/science/thyroid-gland/Regulation-of-thyroid-hormone-secretion
- https://www.endocrineweb.com/conditions/thyroid/how-your-thyroid-works
- Niazi AK, Kalra S, Irfan A, Islam A. Thyroidology over the ages. Indian J Endocrinol Metab. 2011;15(Suppl 2):S121-S126. doi:10.4103/2230-8210.83347
- William’s Textbook of Endocrinology, 14th ed., Shlomo Melmed Ronald Koenig Clifford Rosen Richard Auchus Allison Goldfine, Elsevier, 2019
समीक्षक : प्रमोद जोगळेकर
Discover more from मराठी विश्वकोश
Subscribe to get the latest posts sent to your email.